See what Invisalign® treatment can do.
Choose any type of case below and slide between ‘Before’ and ‘After.’
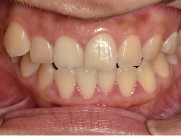
Class II
Spacing
Pre-restorative
Open Bite
Narrow Arches & Crowding
Midline Discrepancy & Tooth prominence
Class II
Spacing
Pre-restorative
Open Bite
Narrow Arches & Crowding
Midline Discrepancy & Tooth prominence
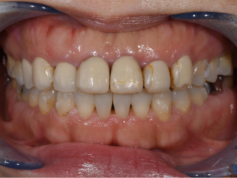
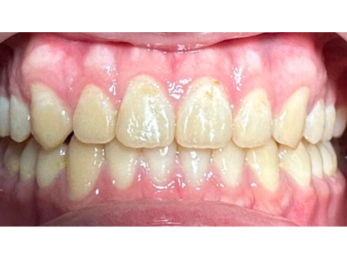
Class II




Class II — or "overbite" — is the condition in which the mesiobuccal cusp of the upper first molar is positioned mesially to the mesiobuccal groove of the lower first molar instead of both being aligned, affecting the occlusal relationship between both dental arches.
Patient Information:
Age: n/a
Gender: Female
Invisalign Treatment Option: Invisalign Go
Total Treatment Time:
4 Months
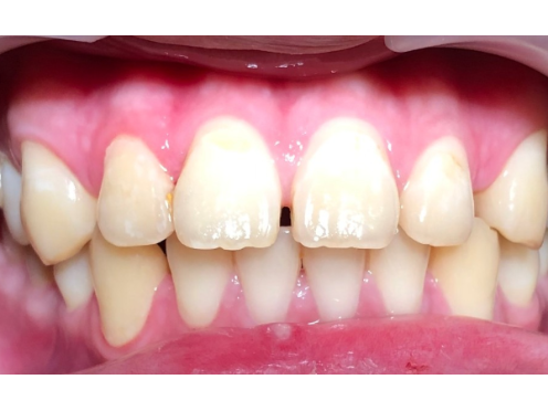
Spacing




Spacing — or “gap teeth” — is the condition in which there is excessive space between adjacent teeth in the dental arch.
Patient Information:
Age: n/a
Gender: Male
Invisalign Treatment Option: Invisalign Go
Total Treatment Time:
10 Months
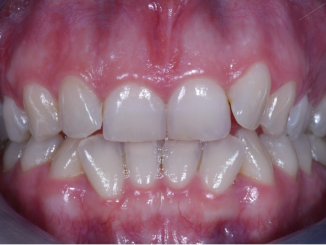
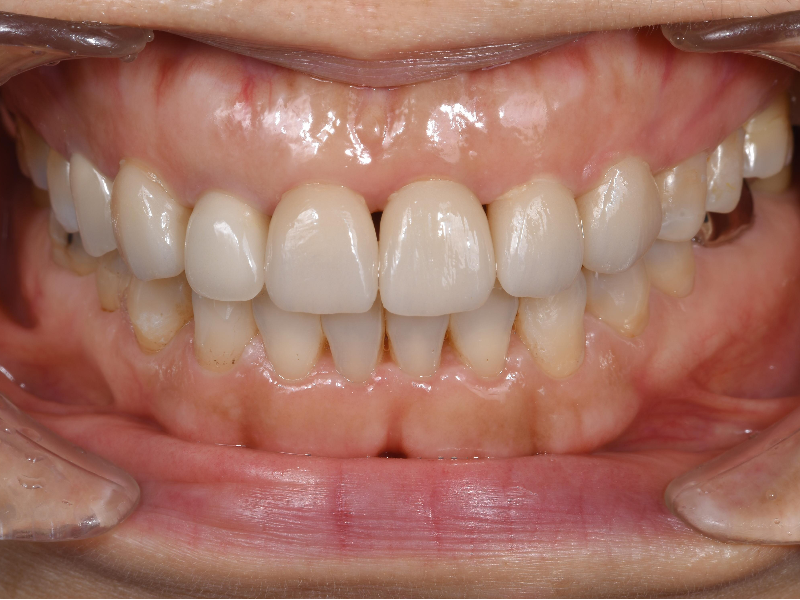
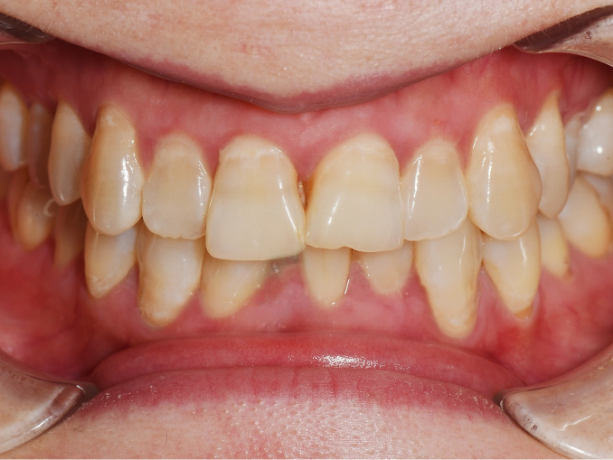
Pre-restorative




Alignment prior to restorative treatment may allow clinicians to preserve natural tooth structure by keeping the preparation in enamel which also improves the longevity of the restorations.
Patient Information:
Age: n/a
Gender: Female
Invisalign Treatment Option: Invisalign Go
Total Treatment Time:
12 Months
Open Bite




Open bite is the condition in which there is no vertical overlap of anterior teeth in centric occlusion. It can be limited to the anterior teeth or include some posterior teeth as well.
Patient Information:
Age: n/a
Gender: Female
Invisalign Treatment Option: Invisalign Go
Total Treatment Time:
6 Months
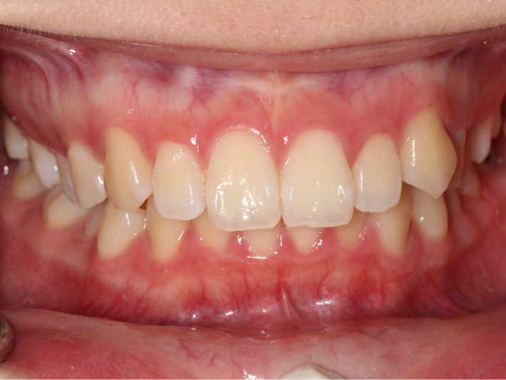
Narrow Arches & Crowding




Narrow Arch
Narrow arches is the condition in which the transverse width of the maxillary and/or mandibular arches is too narrow for the teeth to properly align and have good occlusal contact.
Crowding
Crowding is the condition in which there is a discrepancy between tooth size and space available for the teeth to be aligned in the dental arch.
Patient Information:
Age: n/a
Gender: Female
Invisalign Treatment Option: Invisalign Go
Total Treatment Time:
8 Months
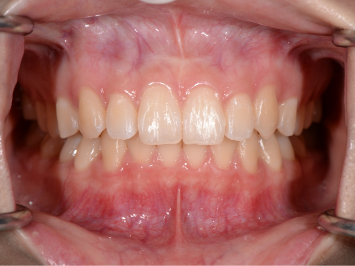
Midline Discrepancy & Tooth prominence




Midline discrepancy is the condition in which there is a misalignment of the midsagittal line of maxillary and mandibular arches respectively and/or relative to the facial midline.
Patient Information:
Age: n/a
Gender: Female
Invisalign Treatment Option: Invisalign Go
Total Treatment Time:
15 Months
Request your case studies.
Please complete the form below to receive the case studies via email.
Fields marked with an asterisk (*) are mandatory.
Select one or more case studies from the list below, then enter your details to receive them.
Congratulations!
The way to minimally-invasive treatments.
Clear aligners are not only an effective treatment for malocclusion, they’re also an ideal way to offer minimally invasive care as part of ortho-restorative workflows.
Here is the proportion of dentists who prefer to use Invisalign® treatment as a pre-restorative technique compared to prepping the teeth by cutting or shaving for








